Ke zhotovení snímku není třeba se objednávat na konkrétní termín. Snímek uděláme na počkání kdykoliv v ordinační době kterýkoliv pracovní den. Nicméně pokud je pacient zdaleka apod., je vhodné, aby si zavolal předem pro případ, že bychom z nějakého důvodu neordinovali (dovolená, školení ap.). (tel.: 606 084 986) Snímkujeme pouze po předložení Vámi vystavené žádanky na OPG. Hotový snímek posíláme obratem na Vaši e-mailovou adresu (nezaheslovaně ale vždy se souhlasem pacienta, tedy v souladu s GDPR) nebo jej dostane pacient s sebou na CD.
Typická efektivní dávka je 0,007-0,026 mSv pro panoramatický snímek a 0,019 mSv pro kefalometrický snímek. Přibližná doba pro stejné ozáření z přírodních zdrojů je 3 dny.
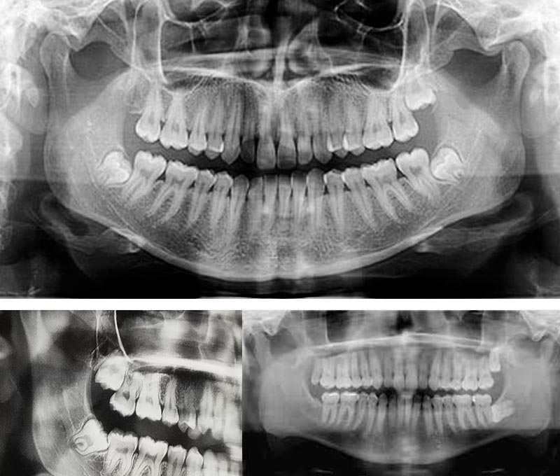
Výstupní komprimovaný formát JPG u panoramatických nebo kafalometrických snímků je stále velmi kvalitní a je možné ho bez obav dále zpracovávat v různých grafických editorech. Zvětšení panoramatického snímku je 1,25-1,5 a u kefalometrického snímku 1,13 konstantně.

Zhotovení panoramatického snímku hradí pojišťovna PZL s odborností 014 s omezením 1×2 roky a ortodontistům (odbornost 015) 2×1 rok. Do cen stanovených pojišťovnou se vejdeme, nevybíráme žádné doplatky.
Zhotovení snímků fakturujeme tomu praktickému zubnímu lékaři, který je indikoval a to souhrnně, vždy 1x za 3 měsíce. Součástí faktury je i seznam provedených snímků. Prosím, zkontrolujte si vždy tento seznam, i přes všechnu snahu se nám někdy, bohužel, podaří drobná záměna, zejména u lékařů- manželů, v rámci s.r.o. apod. Tímto si rovněž dovoluji poděkovat předem za včasné nahlášení případných změn ve fakturačních údajích.
Již od roku 2017 Vám můžeme nabídnout CBCT vyšetření (Cone Beam Comtuter Tomography) na digitálním rentgenovém přístroji Planmeca Pro Max 3D. Zhotovení 3D snímku včetně vypálení na DVD trvá 20-30 min., proto je vhodné, aby si pacient předem zavolal nebo alespoň počítal s tím, že bude muset chvíli počkat.
Na žádance, prosím, vždy uvádějte, jaký rozsah snímaného pole potřebujete, jinými slovy, zda požadujete snímek kompletní dentice, kompletní dentice včetně kloubních výběžků, snímek skupiny zubů (např. kvadrant) nebo jen jednotlivého zubu (endodoncie).
FOV pro jednotlivé zuby: průměr válce 50 mm x výška 50 mm (nebo 50mm x 80mm) FOV pro skupinu zubů: průměr válce 80 mm x výška 80mm FOV dvojitý sken – průměr válce 2 x 80 mm x výška 80 mm (nebo 2x 80 mm x 50 mm) FOV trojitý sken – průměr válce 3 x 80 mm x výška 80 mm (nebo 3x 80 mm x 50 mm,
Rozlišení: (velikost voxelu)
Nízké – 400µm
Normální – 200µm
HD rozlišení – 100µm
Endodoncie – 75µm
Zvětšení: 3D 1,38 / 1,44 / 1,8
Výstupní forma: jen vypálení na DVD

CBCT vyšetření není hrazeno ze ZP a hradí jej tedy pacient přímo u nás. V současné době je cena zhotovení jakékoliv formy CBCT snímku včetně jeho vypálení na DVD 1600 Kč.